朋友孩子矫正不拔牙,为什么我的孩子矫正要拔牙?正畸医生给您专业解答
发布时间:2023-06-13 10:00:48
临床工作中,当家长听到自家孩子矫正需要拔牙时经常会问医生 “怎么朋友家的孩子矫正不需要拔牙,我家的就要拔牙呢?”,实际上,决定矫正需不需拔牙并不是医生自己说了算的,最主要还是取决于孩子牙齿“乱”的程度和脸“突”的程度。下面,就让我们听听正畸医生的说法。
01、牙列拥挤的程度
牙齿乱、不整齐的根本原因在于牙量和骨量之间的不匹配,通俗地讲就是空间不足,牙槽骨无法整整齐齐地容纳所有牙齿。如果拥挤度在4mm以内且面型不突者,一般而言无需拔牙矫治;而拥挤度在8mm以上,则常需拔牙矫治;介于4-8mm之间的,则需结合面型、咬合关系等情况而定。总的来说,牙齿越乱,排齐需要的空间越多,拔牙的可能性也就越大。


02、面部美观的考虑(鼻唇角、颏)
矫牙主要能改变的是面部下1/3的唇、颏关系,一个侧貌较突的人想要变成直面型,需要前牙后移才得以改善。但是,只有存在间隙才能让前牙后移,这就意味着面型越突,需前牙后移越多,需要的间隙也就越大。拔牙是最高效的开辟间隙的方法,当然,其他的方式如邻面去釉、扩弓、牙列后移等也可开辟一定间隙,但常不足以使突面型得以明显改善,所以,对于突面型而言,常采用拔牙矫治,以达到使面部正面观和侧面观均“不突”的目的。

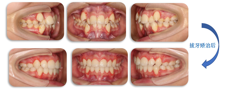
治疗前

拔牙治疗后

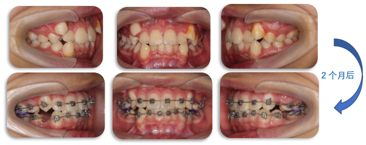
治疗前

拔牙治疗中
治疗前:闭唇时颏肌紧张,嘴唇突
拔牙治疗后:唇部形态改善,“微笑唇”,闭唇时肌肉放松

治疗前

拔牙治疗后
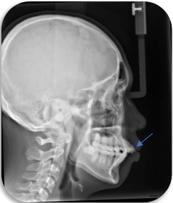
鼻唇角:鼻唇角越小,面型越突
当前牙后移,上唇随之后移,鼻唇角增大,突面型改善

矫治前

拔牙矫治中
颏部形态逐渐显现,面型改善明显

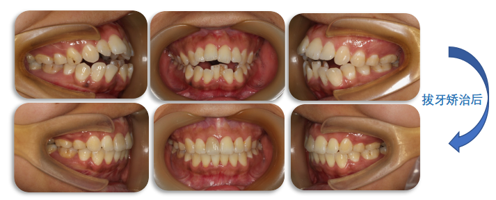
治疗前

拔牙治疗后
通过拔牙矫治,内收前牙,改善“哨牙”及突面型
03、咬合关系
咀嚼食物离不开牙齿的咬合,后牙的尖窝关系(牙尖对牙窝)利于研磨食物,前牙主要用于切割食物。部分人群由于种种原因,后牙并未达到尖窝关系和(或)前牙无法咬合,导致咀嚼功能减弱。正畸矫治通过牙齿的移动建立新的咬合关系,若牙齿移动距离较大,常需拔牙矫治。

综上所述,正畸拔牙与否主要从牙齿的拥挤程度、面型的突度及咬合关系等方面考虑,总的原则是:牙齿越“乱”、面型越突、咬合关系越差,拔牙的可能性就越大;当然,能不拔牙首选非拔牙矫治,但当所要达到的目标(如排齐牙齿、改善突面型等),不拔牙矫治无法达到时,则需拔牙矫治。

番禺院区
海珠广场院区
盘福院区
粤公网安备44010502003112号