给智齿一次重新做牙的机会——3D打印自体牙移植
发布时间:2023-12-30 09:38:55
智齿,这个对大多数人再熟悉不过的牙,有时歪着长,有时被牙肉盖着藏食物残渣,经常引起牙齿疼痛或嘴巴张不开,这就是我们常常说的“智齿冠周炎”。经历过智齿冠周炎的人对智齿实在爱不起来,恨不得早早将它拔掉,以绝后患。

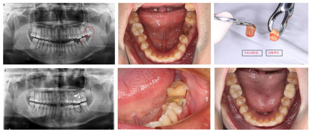
因此,大多数医生会建议患者早点预防性的把智齿拔掉,免得后续疼痛。然而,经常有患者问我们,“人为什么长这么多颗牙齿?”“为什么长的智齿只能拔?”“这些智齿真的一点作用都没有?”我们也常常思考这些问题,这些智齿真的没有一点作用?它对于人类真的只是废用牙吗?如果需要拔除一个牙齿,真的只能种牙和镶牙吗?其实,智齿也有新用途,将其变废为宝发挥它独特的作用。可以通过自体牙移植将智齿移植到新的位置发挥它的余热,给它一次重新做牙的机会。


自体牙移植是将天然牙(废用牙,常常是智齿)移植到一个缺牙位置,让其在新的位置发挥作用。这种移植的天然牙和种植牙在咬合感受上有很大的区别,优点显著,美学效果较好。移植后的牙齿是可以移动的,如果后续需要矫正,也可以进行拉动,而种植牙是完全不可能。其次就是年龄限制,种植牙仅限于成年人,但自体牙移植的年龄没有严格限制,这就为那些青少年受过伤的无法保留的牙提供了一个好的机会。这么多的优点,为何自体牙移植不火起来?不被口腔医生使用?因为它的操作不可预测性,及成功率不到50%,这让口腔医生望而却步。

然而,随着计算机技术的高速发展,自体牙移植技术聚集了目前大部分口腔先进治疗技术,如微创拔牙术、牙槽骨及牙周组织再生技术、数字化导板技术和种植技术等等,目前成功率可以达到86.67%,存留率达96.67%。有学者进行15年随访,成功率可以达到81%,存留率达88.37%。本科室组织口腔各科室专科专家进行术前讨论,已通过计算机数字化辅助技术,利用3D打印技术制作智齿模型,在数字化导板引导下精准备洞,调整空缺位置,给智齿建成一个合适的“新家”,给它一次做有用牙齿的机会。本科室对自体牙移植具有丰富的经验,预后较好,获得了患者的认可和好评。


如果你有一颗需要拔除的牙,但是恰好你又有一颗长得还算可以的智齿,那么除了拔牙后等待种牙或镶牙,或许你还可以尝试一下自体牙移植。给智齿一次重新做牙的机会,让它在新的位置上发挥作用,让它不再是人人讨厌的智齿。


番禺院区
海珠广场院区
盘福院区
粤公网安备44010502003112号