数字化矫正为10岁女童成功保留重要天然牙
发布时间:2023-11-27 16:32:49
广东一女童左下大牙长不出,曾就诊多家医院,医生均表示无法牵引保留,建议择期拔除成年后种植修复。
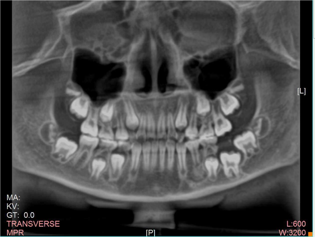
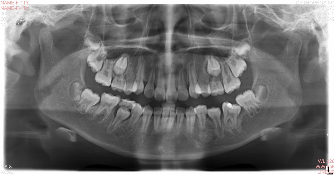
当女孩来我院就诊时,医生拍片发现36含牙囊肿,低位埋伏阻生,且牙根弯曲度大,根尖弯曲接近180°,牵引难度很大,但考虑患者才10岁,拔除非常可惜。
经过对病例的全面分析,决定为其设计数字化3D打印个性化矫治器,尝试进行36牵引,通过数字化口内扫描,结合CBCT进行精准定位,制作出3D打印牵引装置。该方法可以在替牙晚期,多数乳磨牙出现松动的情况下,充分增加固位,且舒适度高。经过大半年的时间,36通过牵引,口内大部分萌出,成功为患儿保留了一颗重要的牙齿。患儿及家长非常开心,安心等待替牙完成后进行全口矫正。


数字化矫正中心
口腔医院番禺院区口腔正畸科建立数字化矫正中心,通过数字化口内扫描,配合隐形矫治技术,使用四手操作,为患者提供一站式精准高效,舒适美观的矫治过程。中心广泛应用3D打印技术,使矫治器更加精准贴合,患者更加舒适,减少因矫治器返工增加患者就诊次数。

什么是数字化矫正?
数字化矫正,指将现代数字化技术应用于正畸治疗各个环节的治疗方法,通过数字化口内扫描、3D打印技术、个性定制矫治器等,使正畸医生达到更为精准的矫正效果。与传统矫治技术相比,具有更加精准、高效、可靠等有点,近年来逐渐得到越来越多患者的青睐。

数字化矫正技术
1.口内扫描技术。口内扫描技术,可快捷舒适的获得数字口腔模型,并配有数字化测量和设计软件,模拟治疗后效果。不仅为患者提供了舒适高效的治疗体验,方便医生医患沟通,也为精准诊断、治疗提供了强有力的保障。
2.3D打印技术。科室目前TPA、前牵引、扩弓等已使用3D打印技术,极大降低误差,减少返工率,避免患者因不适反复调改。
3.数字化隐形矫正。带来高效,精准的同时,还满足了舒适美观的需求。科室积累丰富经验,目前已有2000多例隐形病例。
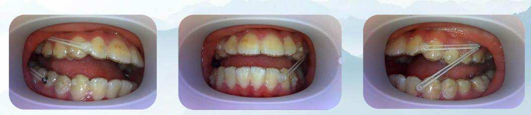
4.数字化复诊监控。科室为无法及时复诊的隐形患者提供远程复诊服务,可以减少患者的复诊次数,提供方便。
(口内照片为患者利用远程拍照工具自行拍摄,便于医生监控)
数字化矫正的优势
数字化矫正相比传统矫正具有以下优势:
1.精准度高:数字化矫正采用数字化技术,可以更精准地测量和分析牙齿和颌骨的形态和位置,从而制定出更为精准的矫正方案。
2.矫正效果好:数字化矫正采用个性化定制的矫治器和弓丝,能够更好地贴合牙齿和颌骨的形态,从而达到更好的矫正效果。
3.矫正时间短:数字化矫正采用数字化技术,可以更快速地制作出矫治器和弓丝,从而缩短整个矫正过程的时间。
4.舒适度高:数字化矫正采用个性化定制的矫治器和弓丝,能够更好地适应牙齿和颌骨的形态,从而提高患者的舒适度。
5.方便易用:数字化矫正采用数字化技术,可以更方便地进行远程诊疗和矫正过程的监控,从而提高治疗的便捷性和效果。



番禺院区
海珠广场院区
盘福院区
粤公网安备44010502003112号